Der Bandscheibenvorfall

Woran erkennt man einen Bandscheibenvorfall?

Bei einem Bandscheibenvorfall tritt der weiche, dämpfende Anteil der Bandscheibe (Nucleus pulposus) durch einen Defekt im härteren Ring (Anulus fibrosus) aus.
Meistens ist dies einhergehend mit einem plötzlich einschiessenden Rücken- oder Nackenschmerz, der dann auch ins Bein oder den Arm ausstrahlt.
Gleichzeitig können auch ein Kribbeln, ein Taubheitsgefühl oder sogar eine Schwäche im Arm oder Bein auftreten.

Therapiert wird der Bandscheibenvorfall in 80% der Fälle konservativ mittels Schonung, Physiotherapie, Medikamente und gezielte Infiltrationen an die Nerven der Wirbelsäule oder mittels Gabe des Medikaments in den Spinalkanal.
Bei höhergradigen neurologischen Ausfällen ist eine Operation zur Entlastung der Nerven notwendig. 

Wann ist eine Bandscheiben OP notwendig?

Gründe für eine Bandscheiben OP sind neurologische Ausfälle:
Gefühlsstörungen weniger, aber vor allem motorische Ausfälle von funktionell wichtigen Nervengruppen benötigen eine Operation, um den direkten Druck durch den Vorfall auf den Nerv zu beenden.
Notfalleingriffe sind nötig, wenn die Nervenfasern im Spinalkanal so stark gedrückt werden, dass das Wasserlassen nicht mehr möglich ist.
Gleichzeitig tritt hier ein Taubheitsgefühl im Intimbereich auf welches sich im Reiterhosenareal ausbreitet.
Ebenfalls als Notfalleingriff wird eine Operation bei plötzlichem Verschwinden des akuten Schmerzes, bei gleichzeitig bestehender hochgradiger Schwäche des Fußes oder Armes durchgeführt.

Ebenso wichtig und notwendig sind Eingriffe bei instabilen Brüchen der Wirbelsäule, Entzündungen oder Tumoren. 

Die MRT-Bilder zeigen einen 27 jähriger Patienten mit plötzlichen Rückenschmerzen mit Ausstrahlung ins linke Bein, über die Wade bis in die äußeren Zehen. Vor allem im Fuss besteht ein Taubheitsgefühl.
In der neurologischen Untersuchung zeigte sich keine Schwäche der Muskulatur, dafür eine Abschwächung des Reflexes an der Ferse und die Taubheit.
Insgesamt kein Grund für eine Operation.
Der Patient wurde konservativ mittels Spritzen, Tabletten und Physiotherapie behandelt.
Das zweite und dritte Bild wurde nach 3 Monaten angefertigt.
Hier zeigt sich der hellgraue Anteil des Bandscheibenvorfalls vollständig resorbiert. Beinschmerzen sind zu diesem Zeitpunkt keine mehr vorhanden. Das Taubheitsgefühl hat sich deutlich verbessert und ist nur noch am kleinen Zeh vorhanden. 

Bandscheibenvorfall behandelt mittels konservative Therapie

Spritze, Tabletten und Physiotherapie, schmerzfrei nach 3 Monaten

Die Spinalkanalstenose

Die Spinalkanalstenose entwickelt sich im Laufe des Lebens. Die Ursache ist der natürliche Verschleiss, der Alterungsprozess der Wirbelsäule.
Die Gelenke vergrößern sich, die Bänder werden dicker, die Bandscheibe wird schmäler und wölbt sich leicht vor. Dadurch werden die Fasern innerhalb des Spinalkanals langsam zusammengedrückt.

Die Symptome sind auch hier die Ausstrahlung in die Beine.
Diese werden nach einer bestimmten Gehzeit oder Gehstrecke müde und schwer, manchmal kribbeln sie auch oder werden taub.
Viele Patienten beschreiben es mit einem Gefühl von Betonklötzen an den Füßen. Hinsetzen oder Vornüberbeugen hilft meistens die Beschwerden innerhalb von kürzester Zeit zurückzubilden.
Dann kann wieder die selbe Gehzeit bis zum Einsetzen der Symptome zurückgelegt werden.
Daher hat die Erkrankung auch den Namen „Schaufenster Krankheit“ bekommen.
Man kommt in der Fußgängerzone gerade so von Schaufenster zu Schaufenster bis man eine Pause benötigt. 

Therapiert wird die Spinalkanalstenose auch über die Gabe von Schmerzmedikamenten, Physiotherapie und auch Infiltrationen.
Anders als ein Bandscheibenvorfall bildet sich die Spinalkanalstenose jedoch nicht mehr zurück. Häufig sind die Beschwerden zunehmend, so dass im Verlauf nur eine Operation diese beseitigen kann.

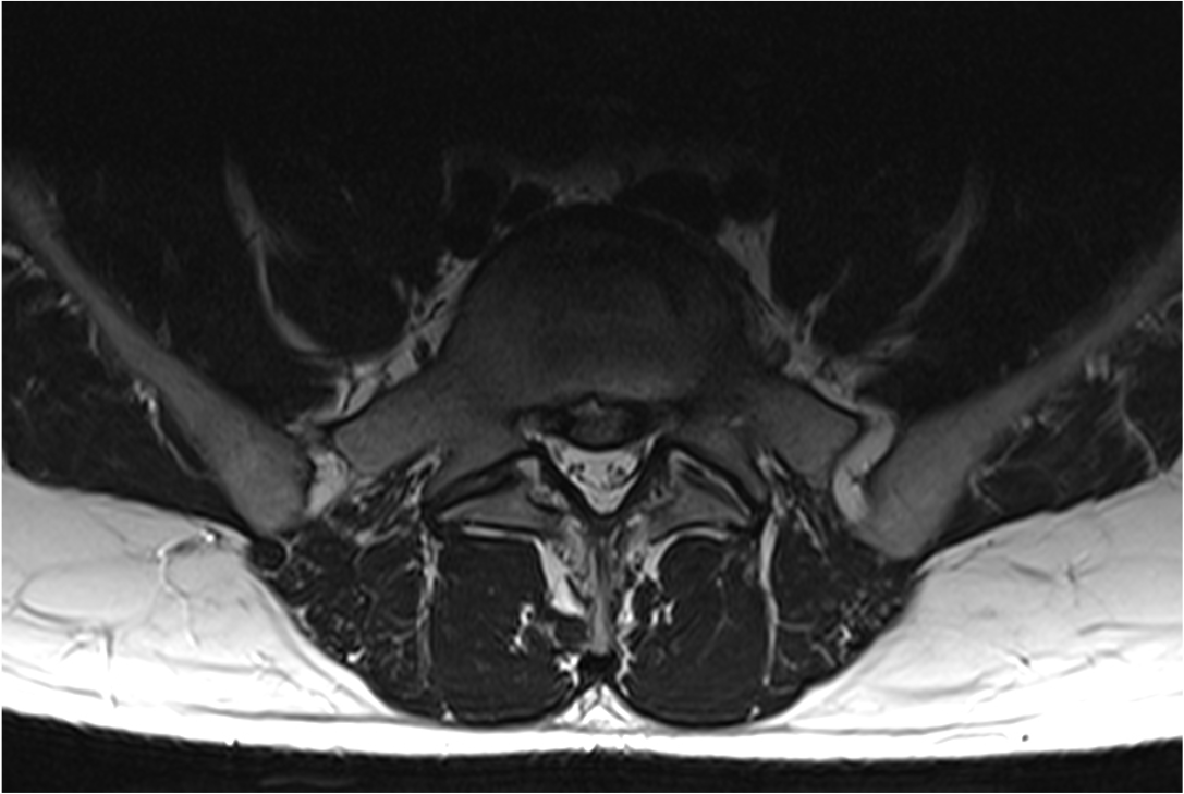
Die MRT-Bilder zeigen einen 78-jährigen Patienten mit Schwäche- und Taubheitsgefühlen in den Beinen, schon nach 20 Meter Gehstrecke.

Das erste Bild zeigt eine Einengung des Spinalkanals in 3 Höhen, das Zweite Bild zeigt den selben Patienten 6 Monate nach seiner OP.
Hier sieht man eine deutlich Entlastung der Nervenfasern. Im Gegensatz zum ersten Bild sind die Fasern nicht mehr gequetscht und zeigen um die Engstellen keine spiralförmige Aufwertung mehr.
Spinalkanalstenose

Behandlung mittels Operation, deutliche Verbesserung nach 6 Monaten

Die Halswirbelsäule

Die Spinalkanalstenose oder der Bandscheibenvorfall an der Halswirbelsäule zeigen andere Symptome als an der Lendenwirbelsäule.
So weit oben verläuft innerhalb des Spinalkanals noch das Rückenmark. Das Rückenmark ist die Fortsetzung des Gehirns und leitet dessen Befehle an den Körper weiter. Durch das Rückenmark werden auch die Sinneseindrücken der Arme und Beine zum Gehirn geleitet. Auf sehr kleinem Raum verlaufen hier also alle lebensnotwendigen Informationen.
Ein Bandscheibenvorfall oder eine Stenose drücken diese Bahnen zusammen.
Dadurch können dann Fehlfunktionen auftreten: Eine Ungeschicklichkeit, ein Taubheitsgefühl, eine Gangstörung bis hin zu Symptomen einer Querschnittlähmung mit vollständigem Ausfall aller Funktionen. Der direkte Druck auf das Rückenmark verursacht keine Schmerzen, deshalb werden die Symptome häufig zu spät erkannt und behandelt.

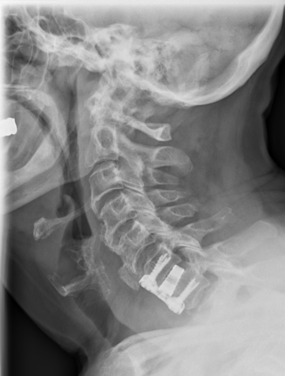
Das MRT zeigt eine 78 jährige Patientin. Schon seit Jahren klagt sie immer wieder über Nackenschmerzen. Seit einem halben Jahr hat sie ein Taubheitsgefühl in beiden Händen. Die Feinmotorik hat deutlich nachgelassen. So ist das Schliessen eines Hemdknopfes und dass Sticken nicht mehr möglich. Das Schriftbild ist kaum noch leserlich. Das Gehen ist sehr unsicher, vor allem bei Dunkelheit und auf unbekanntem Gelände.
Im MRT der HWS sieht man eine Einengung des Spinalkanals in Höhe des 6. und 7. Halswirbelkörpers. Im Spinalkanal verläuft das Rückenmark (dunkelgrau). In der Höhe der Stenose/Bandscheibenvorfalls  zeigt sich ein weisser Fleck innerhalb des Rückenmarkes. Das ist die „Myelopathie“ eine Schwellung bzw. Verletzung des Rückenmarkes aufgrund des Druckes.
Das 2. MRT Bild zeigt die Erweiterung und Entlastung des Kanals nach OP.
Im 3. Bild sieht man die Schrauben, Platte und Cage Stabilisierung in der Höhe HWK 6/7 zur Entlastung und Stabilisierung des Spinalkanals.
Direkt nach der OP waren die Beschwerden erst mal unverändert. Das Rückenmark braucht sehr viel Zeit, um sich zu erholen. Nach 6 Monaten (Zeitpunkt des 2. MRT Bild) war die Symptomatik gebessert aber immer noch nicht vollständig zurückgebildet.

Bandscheibenvorfall an der Halswirbelsäule

Behandlung mittels Operation, erste Verbesserung nach 6 Monaten